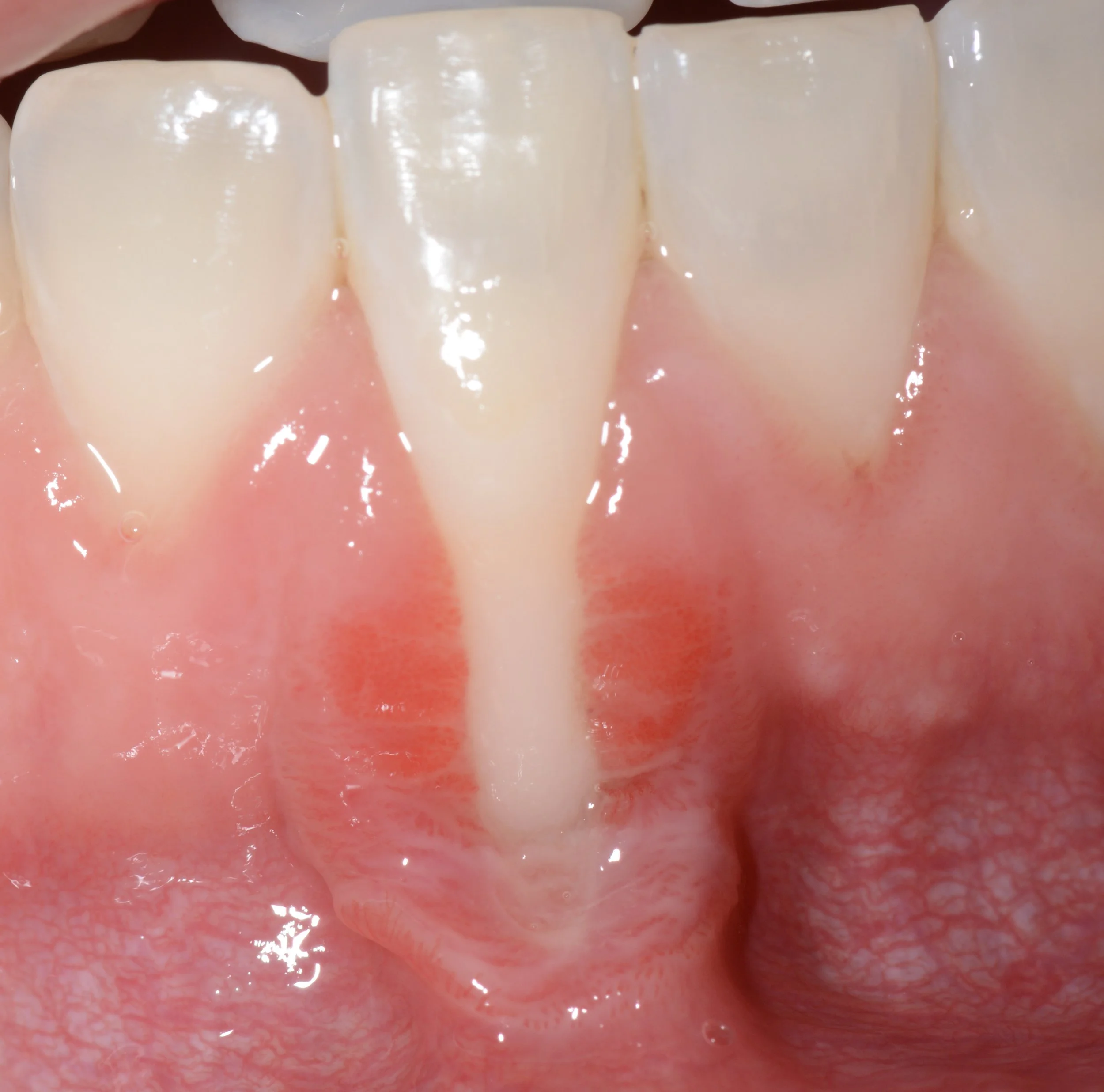
Greffe gingivale

Objectif : Augmenter la quantité de gencive attachée et recouvrir des racines dentaires exposées.

Causes de récession :

  • Facteurs anatomiques, position de la dent, manque d’os

  • Mouvement orthodontique

  • Traumatisme direct (piercing, habitus, brossage)

  • Attache musculaire

  • Parodontite, pathologie bactérienne

  • Trauma d’occlusion  

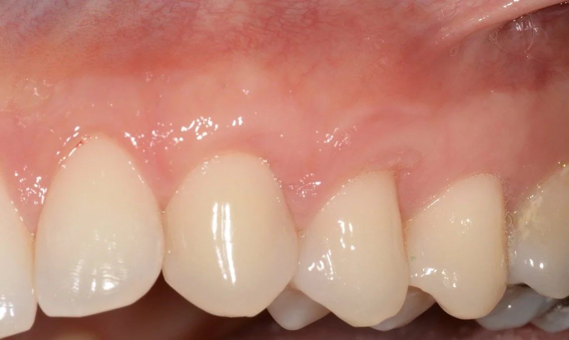
Pourquoi on veut traiter les récessions gingivales :

  • Sensibilité dentaire

  • Inesthétique

  • Progression des récessions

  • Manque de gencive 

  • Accumulation de plaque engendre 

    • Caries

    • Gingivite